Final Practical Long Case

 

This is an online E log book to discuss our patient's de-identified health data shared after taking his/her/guardian's signed informed consent. Here we discuss our individual patient's problems through series of inputs from available global online community of experts with an aim to solve those patients clinical problems with collective current best evidence based inputs. This e-log book also reflects my patient centered online learning portfolio and your valuable inputs on comment box is welcome.


Chief complaint-


66 years old male patient came to OPD with C/O Right sided weakness of both upper right limb and lower right limb since 3 days.


History of present illness :


Patient was apparently normal 3 days back then at morning after his work while eating breakfast he couldn't mix food, immediately they went to local RMP and took some injections and went back home in hope of recovery, next day morning he developed Right lower limb weakness.


No deviation of tongue

No deviation of angle of mouth

No drooping of eyelid


Past History - 

Not a known case of HTN,DM,TB,Asthma 


Personal history -

He is married and a farmer by occupation 

He has a habit of drinking alcohol (180ml) daily from the past 50 years and smokes beedis(one pack-18) daily from the past 50 years.


Sleep- Adequate 

Diet - mixed diet

Appetite - Normal 

Bowel & bladder movements- Regular


Family History-No member in the family had similar complaints.


General examination -


Patient is conscious,coherent & co-operative

No pallor

No icterus

No cyanosis 

No clubbing

No lymphadenopathy 

No edema


Vitals :

Temp - Afebrile

PR - 83bpm

BP - 110/80 mmHg

RR -20 cpm

SpO2- 98%@RA

GRBS - 215 mg/dl


Systemic examination -

CVS - S1 S2 heard,no murmurs

RS -BAE present

CNS:

HMF - intact

Power   RT     LT

UL        2/5     4/5

LL         3/5    4/5

Tone      RT                  LT

UL          Decreased  Normal

LL          Decreased  Normal

Reflexes     RT           LT

     Biceps    -              ++

    Triceps    -              ++

 Supinator   -              ++

         Knee    -             ++

        Ankle    -             ++


Cerebellar- 

finger-nose in coordination-NO

Knee-Heel in coordination-NO 

P/A - soft , non tender.  



             

                                     



Video of gait
https://drive.google.com/file/d/1TsHMOxuilz7sXRQhN7LG2QEH7JTuBdl1/view?usp=drivesdk

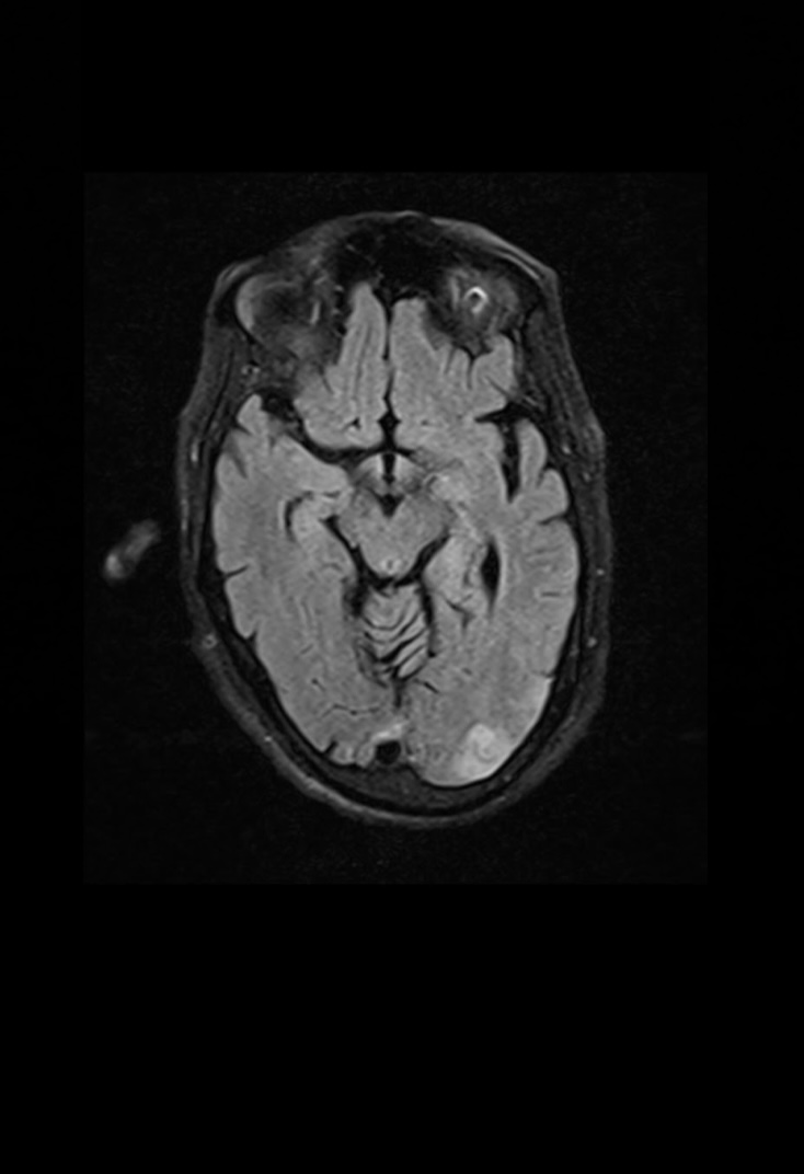
Provisional diagnosis - 

CEREBRAL VASCULAR DAMAGE 

ATHEROSCLEROSIS 


Investigations - 








   

USD 
      






Treatment -


4/2

Tab Ecosprin 150mg

Tab Clopidogrel 150mg

Tab Atorvastatin 40mg 

Tab Lasix 20mg

Tab Ramipril 2.5mg

Tab Cardivas 3.125 mg

Inj Optineuron 100ml IV stat

Physiotherapy of right upper & lower limb 


5/2

Tab Ecosprin 150 mg 

Tab Clopidogrel 150mg

Tab Atorvastatin 40mg 

Tab Lasix 20mg

Tab Ramipril 2.5mg

Tab Cardivas 3.125 mg

Physiotherapy of right upper & lower limb 



6/2

Tab Ecosprin 150 mg 

Tab Clopidogrel 150mg

Tab Atorvastatin 40mg 

Tab Lasix 20mg

Tab Ramipril 2.5mg

Tab Cardivas 3.125 mg

Inj Optineuron in 100ml IV stat

Physiotherapy of right upper & lower limb.


7/2

Tab Ecospirn 150 mg 

Tab Clopidogrel 150mg

Tab Atorvastatin 40mg 

Tab Lasix 20mg

Tab Ramipril 2.5mg

Inj Optineuron 100ml IV stat

Physiotherapy of right upper & lower limb.




Comments

Popular posts from this blog

Final Practical Short Case